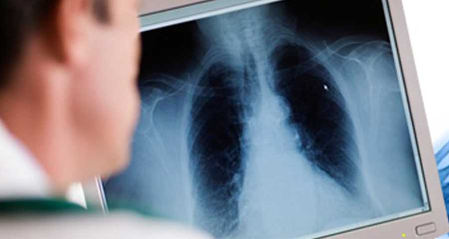
Digital X- Ray

Digital X- Ray with I.I.T.V

Digital radiography is a form of radiography that uses x-ray–sensitive plates to directly capture data during the patient examination, immediately transferring it to a computer system without the use of an intermediate cassette. [1]Advantages include time efficiency through bypassing chemical processing and the ability to digitally transfer and enhance images. Also, less radiation can be used to produce an image of similar contrast to conventional radiography.

Equipment

At Gokul Diagnostic Centre, X-rays are taken on a high-Frequncy X-ray unit, which has an image intensification system. The procedures are thus carried out without the room being darkened.

Shree Imaging