Whole Body Colour Doppler

Whole Body Colour Doppler

Ultrasound allows a medical examiner to examine the internal body structures such as tendons, muscles, joints, vessels and internal organs. The process is usually carried out with an intention to find the source of a disease or to exclude any pathology. This collected imaging insight can be used for either diagnosis or treatment (therapeutic procedures), as well as for guidance during procedures that require intervention, such as biopsies. Radiologists, cardiologists, or other medical specialists interpret the images and the required treatment will be carried out. Trivitron is associated with Hitachi Aloka for over 15 years – innovators of the ultrasound system, across the world.

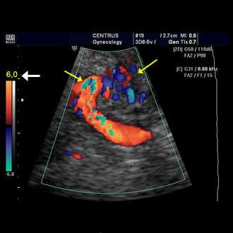
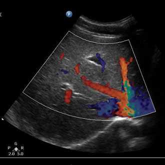
Doppler ultrasound is a special ultrasound technique that evaluates blood as it flows through a blood vessel, including the body's major arteries and veins in the abdomen, arms, legs and neck.

FAQ'S

A Doppler ultrasound is a test that uses high-frequency sound waves to measure the amount of blood flow through your arteries and veins, usually those that supply blood to your arms and legs. ... The test provides your doctor with important information about the flow of blood through your major arteries and veins
In an ultrasound examination, a transducer both sends the sound waves into the body and receives the echoing waves. ... Doppler ultrasound, a special application of ultrasound, measures the direction and speed of blood cells as they move through vessels.
You may hear the sound of the blood flowing through your blood vessels. When your ultrasound is finished the staff will give you something to clean off the gel and ask you to wait while they check the pictures. A doppler ultrasound usually takes about 30 - 60 minutes including time taken to get ready.
“Fetal Dopplers are safe when used and interpreted by a health care provider, such as a nurse, midwife or physician,” Chanchani says. “They provide real-time information about whether the heart rate of a baby is normal. The risk of using fetal Dopplers at home is not in the technology.
Shree Imaging