BIOPSY

Biopsy and Drainage

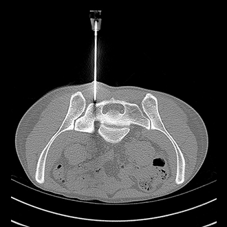
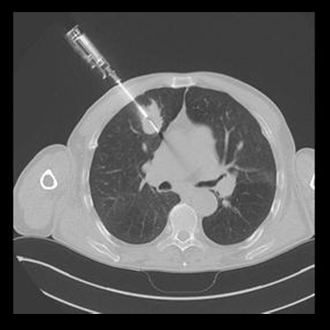
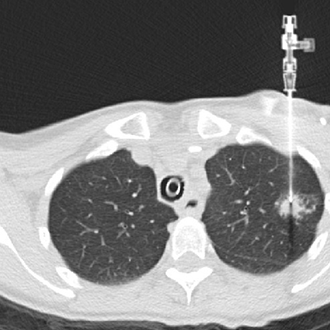
We at Gokul Diagnostic and Scan Centre provide facilities for various radiological interventions under the guidance of CT Scan, XrayFluroscopy and Ultrasonography.

As we have availability of various modalities we choose from CT or Sonography guidance whichever is best suited for the patient under given clinical scenario.

We have a team of dedicated radiologists who are highly trained in doing imaging based interventions.

We have excellent success rates with patient safety being our priority.

We Perform :
  1. CT/USG guided biopsies.
  2. CT/USG guided drainages.
  3. FNAC
Shree Imaging