Digital OPG with Cephalography

Digital OPG with Cephalography

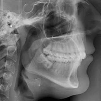
Cephalometric radiography provides a complete view of the dento-maxillo facial region. The functionally designed and easy to use head positioner ensures accurate patient positioning in lateral a.p and p.a technique.

Diagnostic Tests / Digital OPG. ... An Orthopantomogram (OPG), also known as an "orthopantogram" or "panorex", is a panoramic scanning dental X-ray of the upper and lower jaw. It shows a three-dimensional view of a half-circle from ear to ear.

Equipment

Xtronics XTROPAN 2000 with CEPH

FAQ'S

An OPG (Orthopantomogram) is a scan that gives a panoramic view of your jaw and teeth. The scan can provide information on wisdom teeth, bone loss, orthodontic assessment, jaw trauma, dental pain, or be used as part of a general dental check-up.
OPG. An OPG is a panoramic or wide view x-ray of the lower face, which displays all the teeth of the upper and lower jaw on a single film. It demonstrates the number, position and growth of all the teeth including those that have not yet surfaced or erupted.
Shree Imaging